반응형
오리온 나초 과자 먹다 아이 이빨이 깨졌다


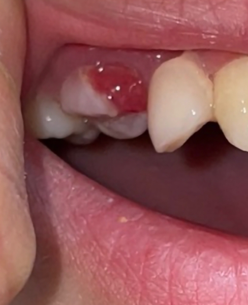
책을 보며 과자를 먹느라 이가 깨진줄도 모르고 씹다가 부서진 이빨 마저 깨지며 삼켜버린 ㅠ
저녁 이후에 발생한지라 놀란 마음에 종합병원 응급실로 애를 데려가봤으나 이가 깨졌고 신경 치료가 필요할수 있다며 주간 진료를 권했다.

무사히 잘 치료되길..
혹시나 네이버 검색해보니 나초 먹다 이가 깨진 사례가 꽤 있는 듯 하다

나초는 앞으로 먹지 말아야겠다
==========
병원에 가보니
천만다행으로 유치가 깨진것이고
영구치가 밀고 나오며 치아가 약해진것 같다는 소견
다행이야~
반응형
'Information' 카테고리의 다른 글
| 윈도우11에서 추가 옵션 표시 끄기 방법 (0) | 2024.12.12 |
|---|---|
| 전자본인서명확인서 (인감도장 분실 시) (0) | 2024.09.17 |
| 창조론의 과학적인 근거 (지속 업데이트) (1) | 2024.08.31 |
| SK 브로드밴드 인터넷 망점검은 뭐이리 자주하는지 (0) | 2020.12.03 |
| 이태원 게이 클럽 내 군무 영상의 원인이.. (0) | 2020.05.14 |